Cuboid Syndrome and Possible Causes

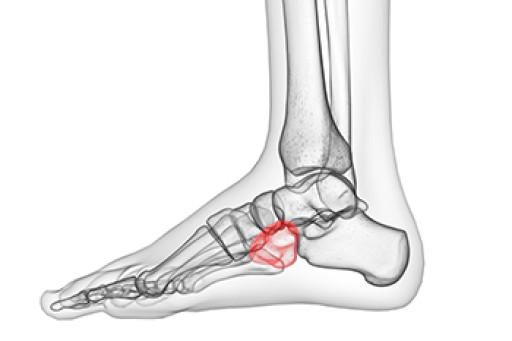
The cuboid bone is one of seven tarsal bones that is found in each foot. Cuboid syndrome is a condition that is a result of an injury that has happened to the joints and ligaments that surround this bone. The pain and discomfort that is associated with this ailment occurs in the middle of the foot, and possibly at the bottom of the fourth and fifth toes. This can develop gradually from overuse, or from a sudden injury. Some patients experience specific symptoms with Cuboid syndrome, including difficulty in walking, swelling, and there may be a reduced range of motion. Research has indicated that dancers and athletes may be prone to enduring this condition, and this can be a result of the intensity of their chosen sport. If you have pain in the middle of the foot, it may be linked to Cuboid syndrome, and it is strongly advised that you are under the care of a podiatrist who can offer you correct treatment options.

Cuboid syndrome, also known as cuboid subluxation, occurs when the joints and ligaments near the cuboid bone in the foot become torn. If you have cuboid syndrome, consult with one of our podiatrists from Advanced Foot & Ankle Medical Center . Our doctors will assess your condition and provide you with quality foot and ankle treatment.

Cuboid syndrome is a common cause of lateral foot pain, which is pain on the outside of the foot. The condition may happen suddenly due to an ankle sprain, or it may develop slowly overtime from repetitive tension through the bone and surrounding structures.

Causes

The most common causes of cuboid syndrome include:

  • Injury – The most common cause of this ailment is an ankle sprain.
  • Repetitive Strain – Tension placed through the peroneus longus muscle from repetitive activities such as jumping and running may cause excessive traction on the bone causing it to sublux.
  • Altered Foot Biomechanics – Most people suffering from cuboid subluxation have flat feet.

Symptoms

A common symptom of cuboid syndrome is pain along the outside of the foot which can be felt in the ankle and toes. This pain may create walking difficulties and may cause those with the condition to walk with a limp.

Diagnosis

Diagnosis of cuboid syndrome is often difficult, and it is often misdiagnosed. X-rays, MRIs and CT scans often fail to properly show the cuboid subluxation. Although there isn’t a specific test used to diagnose cuboid syndrome, your podiatrist will usually check if pain is felt while pressing firmly on the cuboid bone of your foot.

Treatment

Just as the range of causes varies widely, so do treatments. Some more common treatments are ice therapy, rest, exercise, taping, and orthotics.

If you have any questions, please feel free to contact our office located in Thousand Oaks, CA . We offer the newest diagnostic and treatment technologies for all your foot care needs.

 

Read more about Cuboid Syndrome

Connect With Us

scroll-to-top